شکستگی ساعد دست یکی از آسیبهای شایع استخوانی است که معمولاً در اثر زمین خوردن یا برخورد مستقیم با جسم سخت رخ میدهد. ساعد شامل دو استخوان اصلی یعنی اولنا و رادیوس است که هرگونه شکستگی در آنها میتواند عملکرد حرکتی و قدرت گرفتن دست را مختل کند. این نوع شکستگی اغلب با درد شدید، تورم، تغییر شکل ظاهری و ناتوانی در چرخاندن دست همراه است. تشخیص دقیق با استفاده از تصویربرداری رادیولوژی انجام میشود و بسته به شدت آسیب، درمان میتواند شامل گچگیری، فیکساسیون داخلی با پلیت و پیچ یا جراحی باز باشد. مراقبت پس از درمان، فیزیوتراپی و تمرینهای کنترل شده نقش مهمی در بازگشت دامنه حرکتی طبیعی ساعد دارند. پیشگیری از شکستگی با رعایت ایمنی در محیط کار، تقویت استخوانها از طریق تغذیه غنی از کلسیم و ویتامین D و حفظ تناسب عضلانی، اساس سلامت استخوانی در دستها محسوب میشود.

فهرست مطالب
فهرست آنچه در ادامه می خوانید…
علل شکستگی ساعد
شکستگی ساعد دست ممکن است به عنوان نتیجهای از مجموعهای از عوامل فیزیکی و شرایط محیطی اتفاق بیفتد. در ادامه، چند عامل کلیدی که میتوانند منجر به شکستگی ساعد دست شوند را بررسی خواهم کرد:
ضربه یا تصادفات: ضربه مستقیم به ساعد دست، مانند فشار بیش از حد یا برخورد با یک سطح سخت میتواند منجر به شکستگی آن شود. این ممکن است در حوادث و تصادفاتی مانند سقوط از ارتفاع یا برخورد با اشیاء سخت رخ دهد.
فشار زیاد: استفاده از دست برای انجام فعالیتهایی که نیاز به فشار زیاد دارند، مانند بلند کردن اشیاء سنگین، میتواند منجر به شکستگی ساعد دست شود، به خصوص اگر عضلات و استخوانهای دست به این فشار عادی عادت نداشته باشند.
وضعیت نامناسب دست و ضعف در استخوان ساعد: اگر ساعد دست در وضعیتی نامناسب باشد یا از استحکام و چگالی و تراکم خوبی برخوردار نباشد، ممکن است به راحتی شکسته شود. برای مثال، اگر دست در وضعیتی نامناسب یا ناپایدار باشد و فشاری به آن وارد شود، احتمال شکستگی افزایش مییابد.
استفاده از وزن و سنگینی بیش از حد: استفاده از دست برای انجام فعالیتهایی که نیاز به قدرت زیاد دارند، مانند ضربه زدن به یک سطح سخت یا بلندکردن اشیاء سنگین میتواند منجر به شکستگی ساعد دست شود.
بیشتر بدانید: فوق تخصص دست و آرنج کیست؟

قسمت های مختلف ساعد
ساعد یکی از پیچیده ترین و کارآمدترین بخش های بدن انسان است که از مفصل آرنج تا مفصل مچ ادامه دارد و وظیفه انتقال نیرو، انجام حرکات دقیق دست و پشتیبانی از عملکرد حرکتی و حسی را بر عهده دارد. از دیدگاه anatomy (آناتومی)، ساعد شامل سه بخش اصلی است: سیستم استخوانی، سیستم عضلانی ـ تاندونی و شبکه ی عصبی ـ عروقی. هر یک از این بخش ها نقش مکملی در حرکت و عملکرد فیزیولوژیک ساعد ایفا می کنند.
بخش استخوانی ساعد
ساختار استخوانی ساعد شامل دو استخوان بلند و موازی به نام های رادیوس (Radius) و اولنا (Ulna) است. رادیوس در سمت خارجی و نزدیک شست قرار دارد و نقش اصلی در حرکات چرخشی دست (پروناسیون و سوپیناسیون) ایفا می کند. اولنا در سمت داخلی و نزدیک انگشت کوچک واقع شده و به عنوان محور پایدار ساعد عمل می کند.
این دو استخوان توسط غشاء بین استخوانی (Interosseous Membrane) به هم متصل می شوند که ضمن ثبات مکانیکی، مسیر عبور عروق و اعصاب را نیز تنظیم می کند. مفصل های پروگزیمال و دیستال بین رادیوس و اولنا، امکان چرخش نرم و هماهنگ ساعد را فراهم می سازند. هر گونه شکستگی یا بدجوشخوردگی در این استخوان ها می تواند موجب کاهش قدرت چرخش، درد مزمن یا تغییر شکل ساعد شود . همان طور که مطالعات PubMed نشان داده اند، درمان در این ناحیه معمولاً مستلزم جااندازی باز و فیکساسیون داخلی است تا از بدجوش خوردگی جلوگیری شود.
بخش عضلانی و تاندونی ساعد
دست کم ۲۰ عضله در ساختار ساعد وجود دارد که در دو بخش جلویی (قدامی) و پشتی (خلفی) سازمان دهی شده اند. در بخش جلویی، عضلات خم کننده (فلکسور) قرار دارند که مسئول خم کردن مچ و انگشتان هستند. از جمله می توان به عضلات Flexor Carpi Radialis, Palmaris Longus, و Flexor Digitorum Superficialis اشاره کرد. این عضلات خون رسانی خود را از شاخه های شریان اولنار دریافت می کنند و تاندون های بلندشان از زیر رباط عرضی مچ عبور می کند.
در بخش پشتی، عضلات بازکننده (اکستانسور) مانند Extensor Carpi Ulnaris و Extensor Digitorum قرار دارند که با انقباض خود مچ و انگشتان را باز می کنند. در مرکز ساعد عضله ی دو استخوانی معروف Brachioradialis قرار دارد که در حرکات سریع خم شدن آرنج و پایداری ساعد نقش انتقالی دارد. تاندون های این گروه به دلیل تحرک بسیار زیاد، استعداد بالایی در التهاب و آسیب دارند، به خصوص در ورزشکاران و مشاغلی که از حرکات تکراری استفاده می کنند.
بخش عصبی و عروقی ساعد
سه عصب اصلی ساعد شامل عصب مدین (Median Nerve)، عصب اولنار (Ulnar Nerve) و عصب رادیال (Radial Nerve) است. عصب مدین از جلوی ساعد عبور کرده و کنترل حرکات دقیق انگشت شست، سبابه و میانی را بر عهده دارد. این عصب مسئول احساس لمس در بخش قدامی کف دست نیز هست.
عصب اولنار از سمت داخلی ساعد می گذرد و به ویژه نواحی انگشت کوچک و حلقه ای را عصب دهی می کند. آسیب به این عصب باعث بی حسی یا گزگز در این ناحیه می شود. عصب رادیال در پشت ساعد قرار دارد و مسئول حرکات باز شدن مچ و انگشتان است.
از نظر عروقی، ساعد دارای دو شریان اصلی به نام های رادیال و اولنار است که شاخه هایی از شریان بازویی محسوب می شوند. شریان رادیال به دلیل موقعیت سطحی اش، یکی از محل های متداول برای اندازه گیری نبض محیطی است. این رگ ها به کمک شبکه های مویرگی پیچیده، اکسیژن و مواد مغذی بافتی را تأمین کرده و در حفظ سلامت و عملکرد عضلات و اعصاب نقش حیاتی دارند.
ساختارهای پیوندی و حمایتی
ساختارهای پیوندی مانند فاسیای عمیق (Deep Fascia)، لیگامان ها (Ligaments) و تاندون ها (Tendons) شبکه ای محافظ میان استخوان و عضله ایجاد می کنند. این بافت ها زمینه ی انتقال نیرو را فراهم ساخته و هم زمان از لغزش و آسیب مفصلی جلوگیری می کنند. در مفصل مچ، رباط های عرضی و جانبی پایداری حرکات را کنترل می کنند. آسیب در این بافت ها معمولاً با درد و کاهش دامنه حرکتی همراه است.
بیشتر بدانید: جراح شانه چگونه بدون جراحی باز عمل شانه را انجام میدهد؟

روش های درمان
درمان شکستگی ساعد دست ممکن است به وابستگی از نوع و شدت شکستگی و نیازهای فرد متغیر باشد. اما در کل، روشهای درمانی زیر ممکن است به کار گرفته شود:
| روش درمان | توضیح کوتاه |
|---|---|
| گچگیری | مناسب شکستگیهای ساده و بدون جابجایی. |
| جراحی | برای شکستگیهای شدید با پلیت و پیچ فلزی. |
| جااندازی بسته | تنظیم استخوان بدون جراحی و سپس گچگیری. |
| فیزیوتراپی | بازیابی حرکت و قدرت پس از ترمیم |
1. روش ترمیم ترکیبی (Conservative Treatment):
ریست و ایموبیلیزه کردن: بسته به شدت شکستگی، ممکن است ساعد با استفاده از گچ یا باندهای خاص به حالتی ثابت و بیحرکت قرار داده شود تا استخوانها بهبود یابند.
فیزیوتراپی: پس از حذف گچ یا بانداژ، فیزیوتراپی و تمرینات تقویتی و انعطافپذیری ممکن است برای افزایش قدرت و حرکت دست و ساعد مورد نیاز باشد.
2. روش جراحی (Surgical Treatment):
اگر شکستگی بسیار جدی باشد و روشهای ترمیم ترکیبی نتوانند بهبودی مناسبی را فراهم کنند، جراحی ممکن است لازم باشد.
جراحی ممکن است شامل استفاده از پیچها، پلاکها، یا سیمهای فلزی برای تثبیت استخوانها باشد.
بهتر است هرگز خودسرانه برای درمان شکستگی ساعد به روشهای خانگی یا غیرحرفهای اقدام نشود و به متخصص پزشکی مراجعه شود تا روش مناسب درمانی برای هر فرد مشخص شود شاید با روش های نوینی نظیر سلول درمانی و … درمان انجام شود.

مدت زمان جوش خوردن شکستگی
مدت زمانی که لازم است تا یک شکستگی ساعد دست به طور کامل بهبود یابد و جوش خورده شود، بستگی به متغیرهای مختلفی دارد، از جمله:
نوع و شدت شکستگی: شکستگیهای سادهتر ممکن است در کمترین زمان بهبود پیدا کنند، در حالی که شکستگیهای پیچیدهتر ممکن است نیاز به زمان بیشتری برای بهبود داشته باشند.
روش درمان: استفاده از روش ترمیم ترکیبی (مانند استفاده از گچ) یا روش جراحی میتواند بر زمان لازم برای جوش خوردن تاثیر بگذارد.
وضعیت عمومی و سلامتی فرد: عواملی مانند سن، وضعیت عمومی سلامتی، و استفاده از داروهایی که به ترمیم استخوان کمک میکنند، میتوانند روی مدت زمان بهبودی تاثیرگذار باشند.
به طور کلی، مدت زمان جوش خوردن شکستگی ساعد معمولاً بین هشت تا دوازده هفته متغیر است، اما این زمان بر اساس نوع شکستگی، میزان جابهجایی قطعات استخوان و روش درمان متفاوت خواهد بود. استخوان های ساعد شامل رادیوس و اولنا هستند که همکاری دقیق آنها برای حرکات چرخشی ضروری است، به همین دلیل ترمیم در این ناحیه حساستر از سایر اندامهاست. در شکستگی های ساده و بدون جابهجایی، گچ گیری معمولاً حدود شش تا هشت هفته کافی است؛ ولی در موارد جراحی با فیکساتور یا پیچ، جوش خوردن کامل ممکن است تا دوازده هفته یا بیشتر طول بکشد. تغذیه مناسب حاوی کلسیم و ویتامین D، ترک سیگار و انجام توان بخشی اصولی بعد از باز کردن گچ اهمیت زیادی دارد. رعایت دقیق دستورات پزشکی و پرهیز از فشار زودهنگام بر ساعد، شرط دستیابی به جوش خوردن کامل و بازیابی قدرت حرکتی طبیعی است.
بیشتر بدانید: بهترین فوق تخصص جراح زانو در تهران کیست؟

علائم شکستگی ساعد دست
شکستگی ساعد معمولاً با درد شدید، تورم و ناتوانی در حرکت طبیعی مچ یا آرنج همراه است. در بیشتر موارد، تغییر شکل یا انحراف واضح در ساعد دیده میشود که به جابجایی استخوانها اشاره دارد. کبودی، حساسیت به لمس و گاهی بیحسی یا سوزنسوزن شدن انگشتان نیز از علائم شایع این آسیب هستند. علائم شکستگی ساعد دست ممکن است شامل موارد زیر باشد:
| علامت | توضیح کوتاه |
|---|---|
| درد شدید | حس فوری درد پس از ضربه یا سقوط، تشدید با حرکت ساعد. |
| تورم و التهاب | تجمع مایع و خون اطراف استخوان، ظاهر سریع پس از آسیب. |
| تغییر شکل ساعد | انحراف یا برجستگی غیرعادی ناشی از جابجایی استخوان. |
| کاهش حرکت | ناتوانی در خمکردن یا چرخاندن ساعد و مچ. |
| کبودی پوست | تغییر رنگ ناشی از خونریزی زیرپوستی در ناحیه آسیبدیده |
درد شدید: در هنگام شکستگی، درد شدید در منطقه ساعد دست حاصل میشود، که ممکن است به صورت تیز و یا دردمند موجود باشد.
تورم و تغییر در رنگ پوست: منطقه متضرر از شکستگی ممکن است تورم کرده و قرمز شود. این تورم ممکن است به مرور زمان افزایش یابد.
محدودیت حرکت: شکستگی ساعد دست میتواند منجر به محدودیت حرکت در مچ دست، مچ ساعد و حتی در ناحیه شکستگی خود شود.
حساسیت و درد هنگام لمس: منطقه متضرر از شکستگی ممکن است بسیار حساس به لمس شود و در اثر آن درد افزایش یابد.
تورم و تجمع آب: در موارد شدید، ممکن است در منطقه شکستگی ساعد آب جمع شود و بافت های پیرامونی آن تورم کند.
اگر فکر میکنید که ساعد دست شما شکسته است یا اگر هر یک از این علائم را تجربه میکنید، بهتر است فوراً به پزشک مراجعه کنید تا تشخیص دقیق و درمان مناسب اعمال شود.
بیشتر بدانید: جراح ستون فقرات چه زمانی تشخیص به جراحی می گیرد؟

مراحل درمان شکستگی ساعد دست
شکستگی ساعد دست یکی از آسیبهای شایع استخوانی است که معمولاً در اثر زمین خوردن یا ضربه مستقیم رخ میدهد. این شکستگی دو استخوان رادیوس و اولنا را درگیر میکند و میتواند موجب درد شدید، تورم و تغییر شکل ساعد شود. درمان بسته به شدت آسیب شامل گچگیری یا جراحی با پلیت و پیچ است. فیزیوتراپی و تمرینهای کششی پس از ترمیم، برای بازگشت قدرت و حرکت طبیعی دست ضروری محسوب میشوند.
مرحله به مرحله درمان شکستگی ساعد
تشخیص و بررسی اولیه
درمان شکستگی ساعد با تشخیص دقیق نوع و محل شکستگی آغاز میشود. پزشک پس از معاینه فیزیکی، از تصویربرداری رادیولوژی یا سی تی اسکن برای تعیین شدت آسیب استفاده میکند. بررسی وجود جابجایی استخوان، آسیب به بافت نرم و جریان خون ناحیه ضروری است. در موارد شدید ممکن است تورم یا تغییر شکل واضح دیده شود. تشخیص کامل پایه تصمیمگیری برای انتخاب روش درمانی مناسب است.
تثبیت و بیحرکتسازی
پس از تشخیص، اولین اقدام جلوگیری از حرکت استخوان شکسته است تا درد و آسیب بیشتر ایجاد نشود. معمولاً از اسپلینت یا بانداژ موقتی برای ثابت نگه داشتن ساعد استفاده میشود. در شرایط اضطراری، این کار پیش از مراجعه به بیمارستان انجام میگیرد. هدف این مرحله کاهش تورم، کنترل درد و آمادهسازی برای درمان قطعی است. بیحرکتی صحیح مانع اختلال در خونرسانی و ترمیم استخوانی میشود.
درمان اصلی
انتخاب روش درمان بستگی به نوع شکستگی دارد. اگر شکستگی ساده و بدون جابجایی باشد، گچگیری از بالای آرنج تا مچ انجام میشود تا استخوانها در راستای طبیعی خود ترمیم شوند. در شکستگیهای جابجا یا چندتکه، جراحی با کارگذاری پلیت و پیچ لازم است. پس از تثبیت داخلی، بیمار باید دوره بیحرکتی را کامل طی کند. در این مرحله کنترل درد و مراقبت از زخم جراحی اهمیت ویژه دارد.
دوره نقاهت
پس از برداشتن گچ یا ترمیم جراحی، دوره توانبخشی آغاز میشود تا حرکت طبیعی بازگردد. فیزیوتراپی شامل تمرینهای کششی و تقویتی برای مچ، آرنج و ساعد است. هدف، بازیابی دامنه حرکتی و جلوگیری از خشکی مفصل است. رعایت برنامه درمانی و پیگیری جلسات فیزیوتراپی نقش حیاتی در موفقیت درمان دارد. تغذیه مناسب و مصرف مکملهای کلسیم و ویتامین D در این دوره توصیه میشود.
بازگشت عملکرد
در آخرین مرحله، بیمار باید به فعالیتهای روزمره و کاری بازگردد اما با احتیاط و در بازه زمانی تدریجی. ارزیابی نهایی توسط پزشک برای اطمینان از اتصال کامل استخوان انجام میگیرد. توصیه میشود تا چند ماه از حرکات سنگین یا ضربهزا خودداری شود. آموزش وضعیت صحیح بدن و تمرینهای تقویت عضلانی از بازآسیب جلوگیری میکند. مراقبت بلندمدت و حفظ سلامت استخوانها اساس پیشگیری از شکستگیهای آینده است.
مهم است هرگز خودسرانه برای درمان شکستگی به روشهای خانگی یا غیرحرفهای اقدام نکنید. همیشه بهتر است به پزشک مراجعه کرده و راهنماییهای لازم را از او دریافت کنید تا بهبودی مناسبی را تجربه کنید.
In general, results of surgical fixation have been good, with only modest losses of forearm strength and rotation; notable complications include nonunion, malunion, and refracture after device removal.
بهطور کلی نتایج فیکساسیون جراحی خوب است و فقط کاهش خفیفی در قدرت و چرخش ساعد دیده میشود؛ عوارض مهم شامل عدم جوشخوردن، بدجوشخوردن و شکستگی مجدد پس از خارج کردن ایمپلنت است.
منبع: pubmed
بیشتر بدانید: چه زمانی نیاز به تعویض مفصل زانو می باشد؟

روش های تشخیص شکستگی
برای تشخیص شکستگی ساعد دست، پزشک از روشهای مختلفی استفاده میکند که شامل موارد زیر میشود:
بررسی بالینی: پزشک با بررسی فیزیکی منطقه متضرر و بررسی علائم شکستگی، از جمله درد، تورم، تغییر در شکل و قابلیت حرکت مفصل، تلاش میکند تا نشانههایی از شکستگی را شناسایی کند.
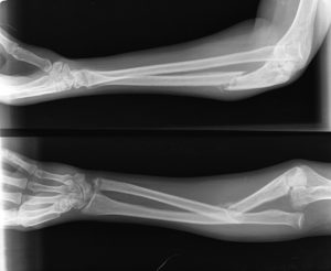
پرتونگاری (X-ray): این یکی از روشهای اصلی تشخیص شکستگی است. پرتونگاری ساعد دست به پزشک کمک میکند تا شکل و موقعیت استخوانها را بررسی کند و هرگونه شکستگی، ترک، یا جابجایی را تشخیص دهد.
اسکن MRI یا CT: این روشها معمولاً در مواردی که پرتونگاری قادر به نمایش دقیق شکستگی نیست، مورد استفاده قرار میگیرند. آنها اطلاعات بیشتری در مورد وضعیت بافتها و نقاط متضرر ارائه میدهند.
آزمونهای تکمیلی: بسته به شرایط خاص ممکن است پزشک برای تایید تشخیص و بررسی عوارض مرتبط، آزمونهای تکمیلی دیگری از جمله آزمایش خون، آزمایشهای امواج فاصله (Doppler ultrasound)، یا سایر آزمونهای تصویربرداری را نیز درخواست کند.
با توجه به نوع شکستگی و شرایط فرد، پزشک ممکن است یک یا ترکیبی از این روشها را برای تشخیص دقیق استفاده کند.

سوالات متداول در خصوص شکستگی ساعد
چه علائمی شکستگی ساعد را مشخص می کند؟
علائمی از قبیل درد شدید، تورم، تغییر در شکل و قابلیت حرکت مفصل، حساسیت و درد هنگام لمس، و تورم و جمع شده آب در ناحیه شکستگی میتواند به شکستگی ساعد دست اشاره داشته باشد.
آیا همه شکستگیهای ساعد نیاز به جراحی دارند؟
نه، بسته به نوع و شدت شکستگی، برخی موارد با استفاده از روشهای ترمیم ترکیبی مانند استفاده از گچ یا باندهای خاص قابل درمان هستند. اما شکستگیهای پیچیدهتر ممکن است نیاز به جراحی داشته باشند.
چه مدت زمانی برای بهبود کامل شکستگی ساعد نیاز است؟
مدت زمان بهبودی بستگی به نوع و شدت شکستگی، روش درمان، و وضعیت عمومی و سلامتی فرد دارد. این ممکن است از چند هفته تا چند ماه متغیر باشد.
آیا پس از درمان شکستگی ساعد نیاز به فیزیوتراپی داریم؟
بله، فیزیوتراپی ممکن است پس از درمان شکستگی ساعد دست برای افزایش قدرت و حرکت دست و ساعد مورد نیاز باشد.




